CT

CT(コンピューター断層)は1972年に出現し、現在まで進歩を遂げ多岐にわたって有用な画像診断法として利用されています。1989年にはヘリカルCT(X線をらせん状に照射し、三次元的に立体的画像で表示するCT)が開発され、従来の二次元画像から高精度の三次元画像が得られるようになりました。しかも、色々な断面像(横断面・矢状面・冠状面など)での描写も可能となり詳細な情報が得られます。

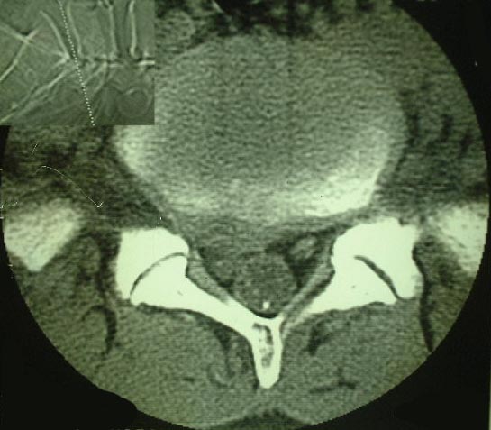
CTの特徴はMRIに比べ骨の情報がよく観察できます。病変が骨由来の症例では優れた診断能力を発揮します。すなわち、CTは骨腫瘍や骨折、靭帯骨化、骨膜反応、石灰化の描出には特に有益な情報を与えてくれます。

 たはら整形外科