上腕骨近位端骨折

上腕骨近位端骨折骨粗鬆症を有する高齢者によく認められます。若年者ではスポーツ活動中の転倒などで発生します。
症状
症状は肩の痛み、脹れ、運動障害(健側の手で腕を支え、全く動かせない状態)で受診されます。

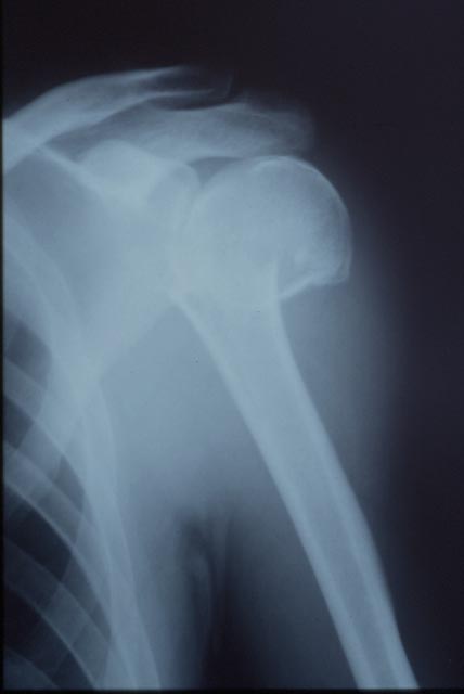
診断

レントゲン検査で確定されます。骨折は
転位のない症例(ずれのない症例)から転位を認める症例(ずれている症例)や結節部での骨折など様々なタイプが存在します。詳細な情報はCTで検討されます。

なお、合併症として神経麻痺(腋窩神経麻痺、肩甲上神経麻痺など)があります。また、後日になって上腕骨頭壊死の発生を認めることがありますので注意深い観察が必要です。

治療
1)保存的治療(手術しない方法)
転位のない症例三角巾やバストバン固定で経過観察します。軽症例ではHanging cast (腕と鉄の重りで骨折部を牽引し整復する方法)やFunctional brace などで治療します。
2)手術的治療
著明な転位を認める症例や早期に活動したい症例(出来るだけ早く動かしたい方)に行われます。術式は髄内釘固定術プレート固定k鋼線固定k鋼線髄内釘固定エンダー髄内釘固定などがあります。術後は出来るだけ早期に関節可動域改善訓練自動・他動ストレッチング肩の筋力強化訓練コマンド体操を指示します。

 たはら整形外科